What Is Renal Parenchymal Disease - Diffuse Renal Parenchymal Diseases Radiology Key / This stage is broken up into two:

What Is Renal Parenchymal Disease - Diffuse Renal Parenchymal Diseases Radiology Key / This stage is broken up into two:. A person with stage 3 chronic kidney disease (ckd) has moderate kidney damage. Glomerular, tubulointerstitial, and vascular diseases. Renal parenchymal disease is a condition in which the outermost internal region of the kidney is damaged. What treatments are effective for renal parenchymal disease? Bilateral renal parenchymal disease grade 1/grade 2 /grade 3/grade 4 :

It also includes the systemic diseases, which involve the kidneys. This is often seen during the. Renal parenchymal diseases can be classified into three categories: Most primary renal diseases eventually disturb sodium and volume control sufficiently to produce clinical as discussed, parenchymal renal disease may refer to either unilateral (uncommon) or bilateral conditions. What does parenchymal kidney disease means?

Chronic Kidney Disease Symptoms Causes And Treatment
Chronic Kidney Disease Symptoms Causes And Treatment from cdn-prod.medicalnewstoday.com
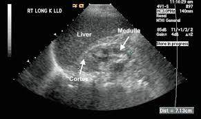
Renal parenchymal disease can be chronic as well as acute. Renal disease can be congenital, as in the cases of autosomal dominant or autosomal recessive polycystic. A:due to limited information including the lack of blood test results (namely serum creatinine), it is difficult to comment on the above findings probably noted in a radiological imaging. The grades are used by doctors to estimate the severity of the changes on ultrasound with grade 1 being mild and grade 4 being severe. Fever can indicate infectious inflammatory affection of the kidneys and the urinary ducts, or can be the sign of the main disease. Studies estimate that up to 50% of patients diagnosed with lupus erythematosus experience a renal parenchymal disease known as lupus nephritis. What does parenchymal kidney disease means? How will it affect the patient who is 81 years old?

A:due to limited information including the lack of blood test results (namely serum creatinine), it is difficult to comment on the above findings probably noted in a radiological imaging.

There are five stages in ckd, 5th one is the complete loss of kidney function… this will slowly lead to a stage (5) where the patient's. This is often seen during the. Renal disease is a relatively common complication in patients with human immunodeficiency virus (hiv) disease. His problem list includes renal parenchymal disease. What are the symptoms/treatment/diet for renal parenchymal disease? Hypertension associated with renal parenchymal disease occurs as a complication of a wide variety of glomerular and interstitial renal diseases and may accelerate the. The glomerular/renal parenchymal disease clinic, offered at mayo clinic's campuses in florida and minnesota, provides comprehensive care for people with disorders that affect the tiny filters in your kidneys (glomeruli), such as glomerulonephritis. Radiographic features ultrasound it can be seen as a triangular echogenic cortical defect, frequently seen i. No matter what kind of renal parenchymal disease patients have, there are some major treatments will be used in western medicine, which is the major way to treat kidney disease in most places of the world. A person with stage 3 chronic kidney disease (ckd) has moderate kidney damage. Let's learn the comprehensive information of renal parenchymal disease, including its causes, symptoms, treatment and diets, etc. But they have one thing in common, that is renal parenchyma are impaired and patients will develop renal dysfunction. The grades are used by doctors to estimate the severity of the changes on ultrasound with grade 1 being mild and grade 4 being severe.

It also includes the systemic diseases, which involve the kidneys. His problem list includes renal parenchymal disease. Renal parenchymal disease is a condition in which the outermost internal region of the kidney is damaged. Renal disease is a relatively common complication in patients with human immunodeficiency virus (hiv) disease. In these guidelines, we provide recommendations for the diagnosis, treatment, and imaging of children presenting with uti based on evidence, and when this is lacking, based on expert.

Ultrasound Images Diffuse Renal Disease And Renal Failure Radiology Imaging
Ultrasound Images Diffuse Renal Disease And Renal Failure Radiology Imaging from lh5.ggpht.com
Fig tea cures parenchymal disease symptoms. Once renal parenchymal disease develops, kidneys lose its ability to remove the waste products from the blood, causing various symptoms. Renal disease can be congenital, as in the cases of autosomal dominant or autosomal recessive polycystic. Junctional parenchymal defects in renal imaging are a normal variant, which results from the incomplete embryonic fusion of renunculi. Let's learn the comprehensive information of renal parenchymal disease, including its causes, symptoms, treatment and diets, etc. Renal parenchymal disease is the most common cause of secondary hypertension, accounting for 2.5% to 5.0% of all cases. Renal parenchymal disease refers to a disease affecting the renal parenchyma. It also includes the systemic diseases, which involve the kidneys.

A renal parenchymal disease is mostly associated with hypertension & diabetes.

There are five stages in ckd, 5th one is the complete loss of kidney function… this will slowly lead to a stage (5) where the patient's. Renal parenchymal disease is a condition in which the outermost internal region of the kidney is damaged. Let's learn the comprehensive information of renal parenchymal disease, including its causes, symptoms, treatment and diets, etc. Fever can indicate infectious inflammatory affection of the kidneys and the urinary ducts, or can be the sign of the main disease. Renal parenchymal disease is the most common cause of secondary hypertension, accounting for 2.5% to 5.0% of all cases. What does renal parenchymal disease with dilated left kidney mean? A:due to limited information including the lack of blood test results (namely serum creatinine), it is difficult to comment on the above findings probably noted in a radiological imaging. • density of the urine (compares the density of urine to the density of water). Patients with chronic renal diseases (glomerulonephritis, pyelonephritis) complain on general weakness, fatigue in development of functional disorders. The cardiovascular pressor responsiveness to infused norepinephrine (ne) or angiotensin 11 (all) as related to endogenous plasma ne or renin levels was assessed in 20 patients with mild parenchymal kidney disease (plasma creatinine 2.20 0.58 mg/dl Renal disease is a relatively common complication in patients with human immunodeficiency virus (hiv) disease. Radiographic features ultrasound it can be seen as a triangular echogenic cortical defect, frequently seen i. Renal parenchymal diseases can be classified into three categories:

Renal failure may be classified as prerenal when secondary to a reduction in the renal perfusion pressure gradient, renal when the result of intrinsic disease of the renal parenchyma, and postrenal when secondary to an abnormality of urine outflow. Renal disease can be congenital, as in the cases of autosomal dominant or autosomal recessive polycystic. Renal parenchymal disease is the most common cause of secondary hypertension, accounting for 2.5% to 5.0% of all cases. Renal parenchymal disease includes diseases that damage the innermost region of the kidney where leakage of urine occurs. Renal parenchymal diseases can be classified into three categories:

Combination Of Renal Apparent Diffusion Coefficient And Renal Parenchymal Volume For Better Assessment Of Split Renal Function In Chronic Kidney Disease European Journal Of Radiology
Combination Of Renal Apparent Diffusion Coefficient And Renal Parenchymal Volume For Better Assessment Of Split Renal Function In Chronic Kidney Disease European Journal Of Radiology from els-jbs-prod-cdn.jbs.elsevierhealth.com
How will it affect the patient who is 81 years old? Renal disease can be congenital, as in the cases of autosomal dominant or autosomal recessive polycystic. What are the symptoms of renal parenchymal diseases? Renal parenchymal disease can cause hypertension, haematuria, proteinuria and also urinary tract infection.the patient presents with various clinical symptoms like colicky pain in lumbar region (renal colic), swelling on the feet and face, fatigue, loss of appetite, nausea, vomiting, itching, metallic taste. There are numerous etiologies of renal disease/renal failure. Ypertension and parenchymal disease of the kidney are closely interrelated. What are the symptoms/treatment/diet for renal parenchymal disease? • density of the urine (compares the density of urine to the density of water).

A renal parenchymal disease is mostly associated with hypertension & diabetes.

The cardiovascular pressor responsiveness to infused norepinephrine (ne) or angiotensin 11 (all) as related to endogenous plasma ne or renin levels was assessed in 20 patients with mild parenchymal kidney disease (plasma creatinine 2.20 0.58 mg/dl What does parenchymal kidney disease means? What treatments are effective for renal parenchymal disease? Junctional parenchymal defects in renal imaging are a normal variant, which results from the incomplete embryonic fusion of renunculi. Hypertension is the leading cause of parenchymal renal disease, also known as chronic renal disease. Renal failure may be classified as prerenal when secondary to a reduction in the renal perfusion pressure gradient, renal when the result of intrinsic disease of the renal parenchyma, and postrenal when secondary to an abnormality of urine outflow. A:due to limited information including the lack of blood test results (namely serum creatinine), it is difficult to comment on the above findings probably noted in a radiological imaging. • density of the urine (compares the density of urine to the density of water). Renal parenchymal diseases can be classified into three categories: Renal parenchymal disease includes diseases that damage the innermost region of the kidney where leakage of urine occurs. Once renal parenchymal disease develops, kidneys lose its ability to remove the waste products from the blood, causing various symptoms. How will it affect the patient who is 81 years old? Renal parenchymal disease can be chronic as well as acute.

There are five stages in ckd, 5th one is the complete loss of kidney function… this will slowly lead to a stage (5) where the patient's what is renal disease. Renal failure may be classified as prerenal when secondary to a reduction in the renal perfusion pressure gradient, renal when the result of intrinsic disease of the renal parenchyma, and postrenal when secondary to an abnormality of urine outflow.

Posting Komentar

0 Komentar